Restorative Clinician

Two BellaTek CAD/CAM custom dental abutments, highlighting their key features. The silver abutment is labeled "Customized Restorations," while the gold-colored abutment points to "Versatility" and "Enhanced Aesthetics," illustrating the precision and aesthetic benefits of ZimVie's digital workflow solutions for dental implant cases.

More Comfort:

  • No need for impression copings for a less invasive impression procedure.

Fewer Visits:

  • An intraoral scan taken by the specialist eliminates a restorative appointment and results in less visits to the dentist’s office.

Aesthetic Outcomes: 

  • Restorations designed specifically for the patient, for better aesthetics.

 BellaTek CAD/CAM Abutments are exclusively designed to match each patient’s tooth anatomy, producing a natural emergence profile through the soft tissue.

Dental Laboratories

ZimVie’s CAD/CAM Consumables range brings you a selection of essentials to keep you working effectively with: 

BellaTek CAD/CAM Abutments

The original solution for ZimVie Dental Implant Systems

  • Integrated Workflow: Digitally integrated workflows supported by Encode® Emergence, Encode-Empowered Laboratories and BellaTek. Submit your design via your 3Shape or RealGUIDE™ systems.

BellaTek Azure™ Lab Designed CAD/CAM

Delivering the precision and aesthetics of your design

  • Abutments: A digitally integrated workflow for 3Shape and RealGUIDE users
  • Multi-Platform Systems: The BellaTek Milling Center now offers Azure multi-platform milling solutions with a versatile portfolio of CAD/CAM abutments.

ZimVie Certain Clinical Case Presentation

Clinical treatment by Dr. Christopher Ramsey, Jupiter, FL, USA

An initial clinical photo showing a 35-year-old female patient with a provisional restoration on teeth numbers 11-14 that she found unsatisfactory.

Fig. 1. A 35-year-old female patient presented with an unsatisfactory provisional restoration on teeth numbers 11-14.

A clinical image of the patient's mouth after orthodontic treatment and the removal of the provisional restoration, showing the current state of the teeth and gums.

Fig. 2. Clinical situation post-orthodontics and removal of the provisional restoration.

This figure shows a ZimVie Full Osseotite Tapered implant and a BellaTek Encoded Healing Abutment that have been placed to prepare for the final restoration.

Fig. 3. A ZimVie Full Osseotite® Tapered Implant and BellaTek Encode® Healing Abutment were placed.

 A close-up view of the IPS e.max glass-ceramic crowns and the BellaTek Gold-Colored Nitride Coated Abutment that were custom-fabricated for the case.

Fig. 4. IPS e.max® glass ceramic crowns and a BellaTek  Gold-Colored Nitride-Coated Abutment were fabricated.

An image of the final crowns for both the natural teeth and the implant, as they appear on the master cast before being cemented in the patient's mouth.

Fig. 5. The crowns for  the natural teeth  and the implant  on the master cast.

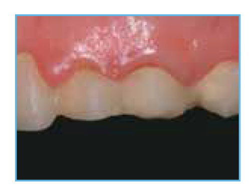
The final clinical photo showing the completed case, highlighting the excellent aesthetic value of both the natural tooth restorations and the implant-supported restoration.

Fig. 6. Final result showing the same aesthetic value on the natural tooth restorations and the implant supported restoration.

 A close-up view of the IPS e.max glass-ceramic crowns and the BellaTek Gold-Colored Nitride Coated Abutment that were custom-fabricated for the case.

Fig. 7. Periapical radiograph taken at three months, 30 days after cementation.

ZimVie Portal Simple Workflow

ZimVie Portal Workflow #1

Login to your Account


Go to the ZimVie Portal and Login to your account. For new customers, please contact our Customer Service Team for a LoginID and password.

ZimVie Portal Workflow #2

Register and Upload your Case


Register your customer information and upload your case using 3Shape® or send your case using RealGUIDE®.

   
ZimVie Portal Workflow #3

Review your Case and Track


Review and track your cases easily from the ZimVie Portal. Any components you need can be added before you finish your order.

Three Simple Steps to Better Dental Care