ZimVie News & Articles
Powering the future of dental implantology.
Latest articles
International Women’s Day: Leadership, Purpose, and Possibility at ZimVie

ZimVie Announces Completion of its Acquisition by ARCHIMED

ZimVie Stockholders Vote to Approve Acquisition by ARCHIMED | ZimVie Americas

ZimVie Announces Exclusive Distribution Agreement with Osstem Implant to Expand Premium Dental Implant Offering in China | ZimVie Americas

ZimVie Announces Definitive Agreement to be Acquired by ARCHIMED | ZimVie Americas

ZimVie Announces Launch of RealGUIDE® Dental Implant Software Suite and Implant Concierge® Service in Japan

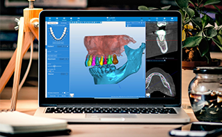
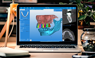
ZimVie Announces the Release of RealGUIDE® 5.4 Software Update | ZimVie Americas

ZimVie Announces the Launch of Azure™ Multi-Platform Product Solutions

ZimVie Announces the Recent Launch of Biotivity™ A/C Plus Membrane

Stay Ahead with the Latest in Dental Innovations and Learning
Subscribe to receive automatic updates via email for ZimVie News, first access to hands-on training events, case studies you can apply, and new protocols backed by peer-reviewed evidence.